
Die Implantologie – das Setzen der Implantate und deren anschließende prothetische Versorgung - gehört in die tägliche Routine unserer Praxis in Offenbach. Wir können zu fast jeder Situation eine sinnvolle Implantat getragene Lösung anbieten. Bei Bedarf setzen wir moderne, dreidimensionale Planungsverfahren ein. Diese ermöglichen eine minimal invasive und komplikationsarme Vorgehensweise, die für Patienten höheren Behandlungskomfort und eine schnellere Genesung bedeuten kann.

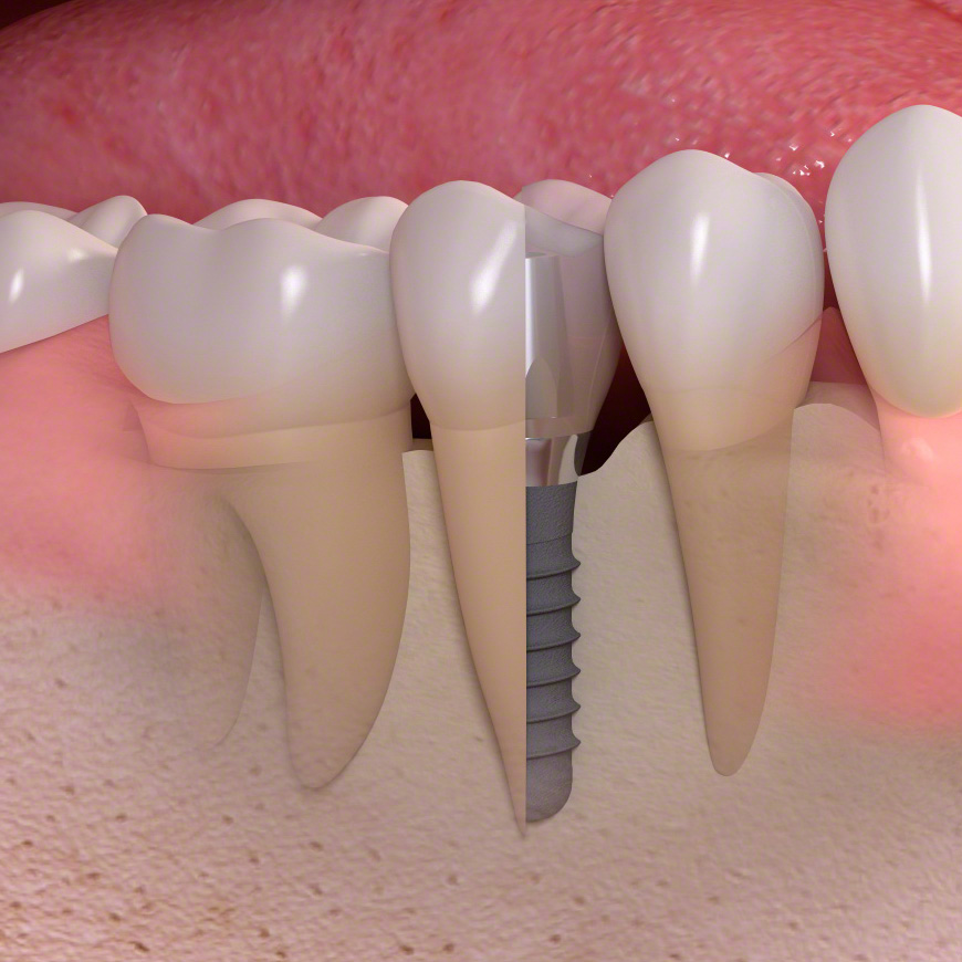
Wenn ein oder mehrere Zähne fehlen, bietet eine Implantatversorgung eine ideale Lösung, um die Lücke zu schließen. Im sichtbaren Bereich der Frontzähne ist die Ästhetik ein wichtiger Aspekt. Ein Implantat getragener Zahn soll sich zwischen die eigenen eingliedern und harmonisch mit dem Zahnfleisch abschließen. Wenn mehrere Zähne fehlen, sollte die entstandene Lücke aus medizinischer und ästhetischer Sicht wieder geschlossen werden.
Gesunde Zahnsubstanz bleibt erhalten, da zur Befestigung einer implantatgetragenen Brücke oder Krone die benachbarten Zähne nicht beschliffen werden müssen. Die Größe der Zahnlücke und die jeweilige Knochenqualität bestimmen Anzahl und Position der Implantate.

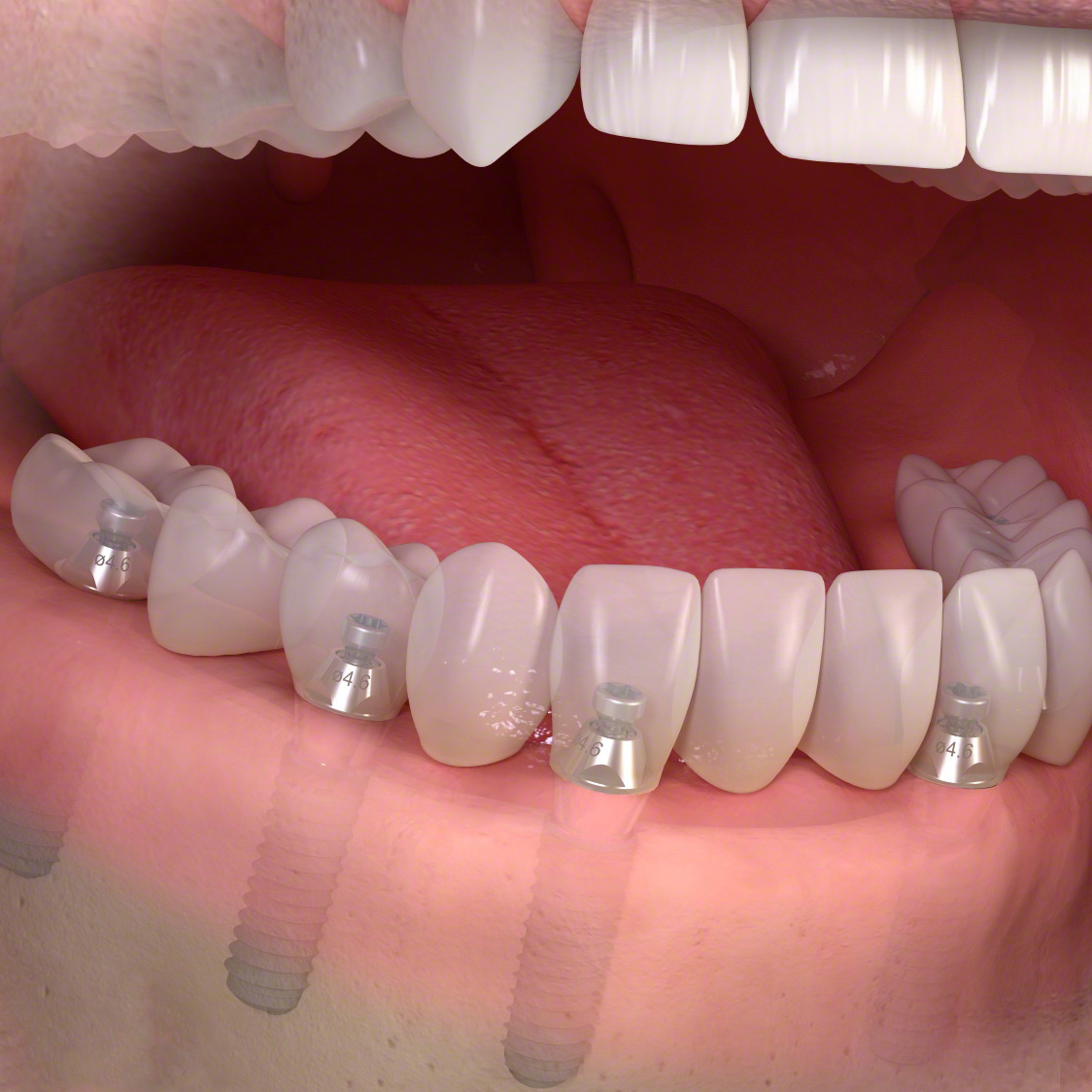
Fehlen im Ober- oder Unterkiefer alle Zähne, können mit Hilfe von Implantaten ganze künstliche Zahnreihen im Kiefer verankert oder herausnehmbare, Implantat getragene Prothesen befestigt werden. Diese Möglichkeiten bieten nicht nur ästhetische, sondern auch funktionelle Vorteile gegenüber der sonst üblichen herausnehmbaren, schleimhautgetragenen Prothese.
Der Gaumen bleibt bei der Implantatvariante frei von Prothesenmaterial – der Patient kann wieder unbeschwert essen, lachen, sprechen und sein ursprüngliches Geschmacksgefühl genießen. Mit der implantatgetragenen Prothese können schmerzhafte Druckstellen vermieden werden, da die Prothese auf den Implantaten festen Halt bekommt.
Insbesondere bei zahnlosen Patienten bedeutet eine erfolgreiche Implantatbehandlung mehr als die Wiederherstellung der Kaufunktion. Wieder fest zubeißen, sicher sprechen und frei lachen können, schenkt Patienten Selbstsicherheit im Berufsleben, im Alltag und bei sozialen Aktivitäten. Bei dem Vergleich der herkömmlichen und einer Implantat getragenen Prothese schneidet die Implantatlösung deutlich besser ab. Bei Komfort, Stabilität, Kauvermögen, Sprachästhetik und Reinigungsmöglichkeit verspricht die Implantatvariante bessere Ergebnisse.
Diese Website nutzt technisch notwendige Cookies sowie weiterführende Cookies (Call Tracking, Google Ads Conversion Tracking) welche uns helfen zu verstehen, woher unsere Besucher kommen und mit deren Hilfe wir unser Angebot weiterentwickeln. Sie können hier auswählen, welche Cookies wir nutzen dürfen.
Lesen Sie mehr in unseren Datenschutzbestimmungen.
Hier geht es zu unserem Impressum.
Ich erlaube: